Home
News
Editorial
MD(e)B(unker)
Related Researches
Di Bella's Foundation
1960-1969
1970-1979
1980-1989
1990-1999
2000-2009
2010-2019
2020-2029
Science news
Scientific Documentation
About us...
Biography
Bibliography
The Method
Di Bella's Method!
1998 Trial!
Media
Video Publications
News-Papers
Press
Testimonial
Testimonies
Video Gallery
Congresses
Video Testimonies
TV & C.
Case History
Lung
Lymphomas
Non-Hodgkin Lymphomas
Hodgkin Lymphomas
Mediastinum
Mesothelioma
Myeloma
Pancreas
Scientific Publications
F.A.Q.
Useful Links
User Side
Vademecum
CouponChief - Resources for Cancer Patients
Contact Us
Home page
Media
Video Gallery
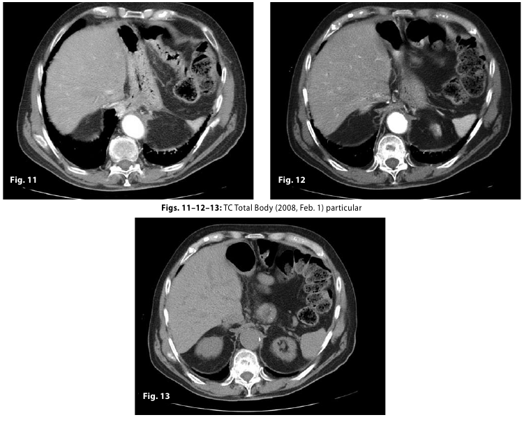
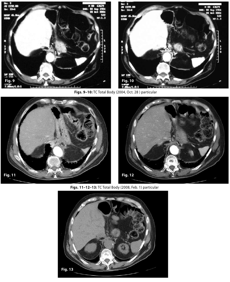
Figure11-12-13
Figure9-10-11-1...
Ordering
Ordering Ascending
Ordering Descending
Title Ascending
Title Descending
Date Ascending
Date Descending
Rating Count Ascending
Rating Count Descending
Rating Ascending
Rating Descending
Hits Ascending
Hits Descending
Display Num
5
10
15
20
50
All
Page 2 of 2
Powered by
Phoca Gallery
Search
Follow us...
Latest
Prolactin inhibitors in oncology
Activation of the mevalonate pathway in response to anti-cancer treatments drives glioblastoma recurrences through activation of Rac-1
A Preliminary Phase-2 Study with very High-Dose of Melatonin (1000 mg/day) in Untreatable Advanced Cancer Patients Already Progression on Previous Palliative Therapy with High-Dose Melatonin
Adjuvant chemotherapy with melatonin for targeting human cancers: A review
Antitumour activity of melatonin in a mouse model of human prostate cancer: relationship with hypoxia signalling
Does the use of melatonin overcome drug resistance in cancer chemotherapy?
Melatonin as a Promising Agent to Treat Ovarian Cancer: Molecular Mechanisms
Melatonin as an Adjuvant to Antiangiogenic Cancer Treatments
Long term increased expression of the short form 1b prolactin receptor in PC-3 human prostate cancer cells decreases cell growth and migration, and causes multiple changes in gene expression consistent with reduced invasive capacity
Short Form 1b Human Prolactin Receptor Down-Regulates Expression of the Long Form
Co-Administration of Curcumin and Bromocriptine Nano-liposomes for Induction of Apoptosis in Lung Cancer Cells
Melatonin: an endogenous miraculous indolamine, fights against cancer progression
Melatonin and breast cancer: Evidences from preclinical and human studies
Melatonin induces autophagy in neuroblastoma by alleviating Pak2‑mediated endoplasmic reticulum stress
In vivo dynamic monitoring of self-assembled melatonin nanodrug combined with photothermal effects to alleviate hypoxia to attenuate tumor aggressiveness
Melatonin: An Endogenous Antiestrogen with Oncostatic Properties
Modulating effects of famotidine and melatonin on high dose radiation induced cell lethality in normal human and cancer cell lines
Plasma melatonin and the hormone-dependency of human breast cancer
Most Read
The Di Bella Method (DBM)
About melatonin - 1996
All-trans-retinoic acid and cancer
Biography
The Di Bella Method Increases by the 30% the survival rate for Pancreas tumors and for this reason should be proposed as first line therapy for this type of cancer
Chronic Lymphocytic Leukemia: 4 patients, long-lasting remission
Somatostatin in oncology, the overlooked evidences
Bibliography
Large B-cells Non-Hodgkin's Lymphoma, Stage IV-AE: a Case Report
How effective is chemo therapy?
Treatment of Low-grade Non-Hodgkin’s Lymphomas at Advanced Stage
Complete objective response to biological therapy of plurifocal breast carcinoma
Non-Hodgkin's Lymphoma, Stage III-B-E: a Case Report
Vademecum
Frequently Asked Questions
Declaration recommends eliminate the use of Impact factor for research evaluation
Non–Small-Cell Lung Cancer Patients with Low Performance Status: study on 28 patients
Breast cancer: study on 122 cases. The Di Bella Method (DBM) improved survival, objective response and performance status in a retrospective observational clinical study on 122 cases of breast cancer