Home
News
Editorial
MD(e)B(unker)
Related Researches
Di Bella's Foundation
1960-1969
1970-1979
1980-1989
1990-1999
2000-2009
2010-2019
2020-2029
Science news
Scientific Documentation
About us...
Biography
Bibliography
The Method
Di Bella's Method!
1998 Trial!
Media
Video Publications
News-Papers
Press
Testimonial
Testimonies
Video Gallery
Congresses
Video Testimonies
TV & C.
Case History
Lung
Lymphomas
Non-Hodgkin Lymphomas
Hodgkin Lymphomas
Mediastinum
Mesothelioma
Myeloma
Pancreas
Scientific Publications
F.A.Q.
Useful Links
User Side
Vademecum
CouponChief - Resources for Cancer Patients
Contact Us
Home page
Media
Video Gallery
Medical reports
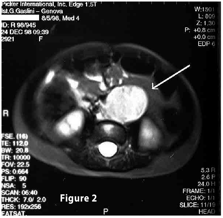
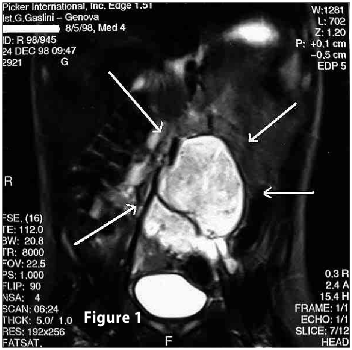
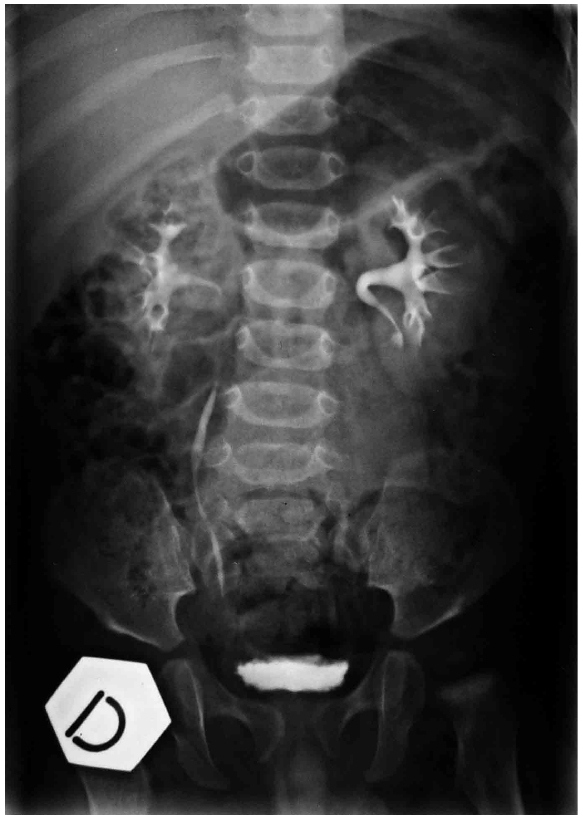
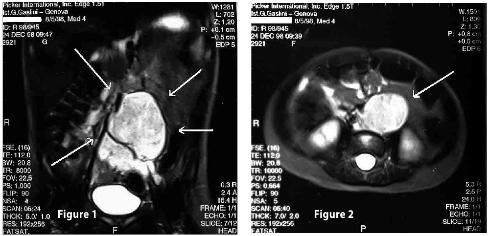
Complete objective response of neuroblastoma to biological treatment.
Figure1
Figure2
Figure3
Figure4
Figure1-2
Figure3-4
Figure1-2-3-4
Figure5
Hem-Chem-Val
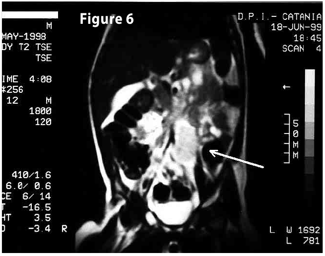
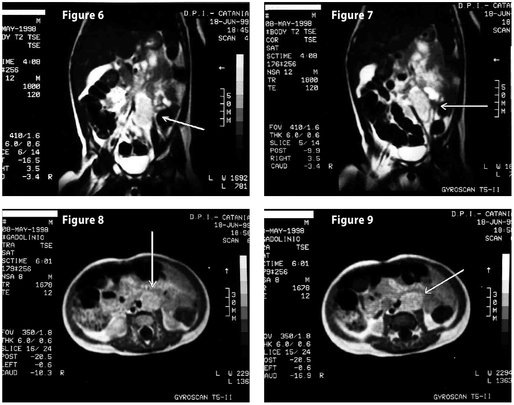
Figure6
Figure7
Figure8
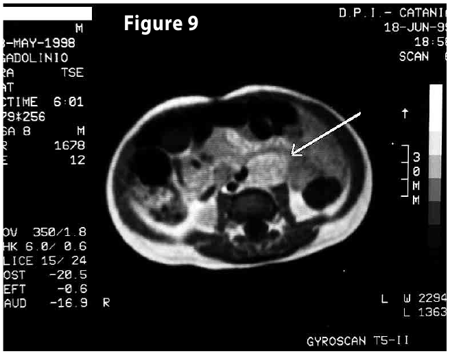
Figure9
Figure6-7
Figure8-9
Figure6-7-8-9
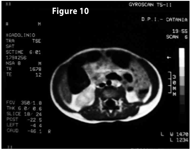
Figure10
Figure11
Figure12
Figure13
Ordering
Ordering Ascending
Ordering Descending
Title Ascending
Title Descending
Date Ascending
Date Descending
Rating Count Ascending
Rating Count Descending
Rating Ascending
Rating Descending
Hits Ascending
Hits Descending
Display Num
5
10
15
20
50
All
Page 1 of 2
Powered by
Phoca Gallery
Search
Follow us...
Latest
Prolactin inhibitors in oncology
Activation of the mevalonate pathway in response to anti-cancer treatments drives glioblastoma recurrences through activation of Rac-1
A Preliminary Phase-2 Study with very High-Dose of Melatonin (1000 mg/day) in Untreatable Advanced Cancer Patients Already Progression on Previous Palliative Therapy with High-Dose Melatonin
Adjuvant chemotherapy with melatonin for targeting human cancers: A review
Antitumour activity of melatonin in a mouse model of human prostate cancer: relationship with hypoxia signalling
Does the use of melatonin overcome drug resistance in cancer chemotherapy?
Melatonin as a Promising Agent to Treat Ovarian Cancer: Molecular Mechanisms
Melatonin as an Adjuvant to Antiangiogenic Cancer Treatments
Long term increased expression of the short form 1b prolactin receptor in PC-3 human prostate cancer cells decreases cell growth and migration, and causes multiple changes in gene expression consistent with reduced invasive capacity
Short Form 1b Human Prolactin Receptor Down-Regulates Expression of the Long Form
Co-Administration of Curcumin and Bromocriptine Nano-liposomes for Induction of Apoptosis in Lung Cancer Cells
Melatonin: an endogenous miraculous indolamine, fights against cancer progression
Melatonin and breast cancer: Evidences from preclinical and human studies
Melatonin induces autophagy in neuroblastoma by alleviating Pak2‑mediated endoplasmic reticulum stress
In vivo dynamic monitoring of self-assembled melatonin nanodrug combined with photothermal effects to alleviate hypoxia to attenuate tumor aggressiveness
Melatonin: An Endogenous Antiestrogen with Oncostatic Properties
Modulating effects of famotidine and melatonin on high dose radiation induced cell lethality in normal human and cancer cell lines
Plasma melatonin and the hormone-dependency of human breast cancer
Most Read
The Di Bella Method (DBM)
About melatonin - 1996
All-trans-retinoic acid and cancer
Biography
The Di Bella Method Increases by the 30% the survival rate for Pancreas tumors and for this reason should be proposed as first line therapy for this type of cancer
Chronic Lymphocytic Leukemia: 4 patients, long-lasting remission
Somatostatin in oncology, the overlooked evidences
Bibliography
Large B-cells Non-Hodgkin's Lymphoma, Stage IV-AE: a Case Report
How effective is chemo therapy?
Treatment of Low-grade Non-Hodgkin’s Lymphomas at Advanced Stage
Complete objective response to biological therapy of plurifocal breast carcinoma
Non-Hodgkin's Lymphoma, Stage III-B-E: a Case Report
Vademecum
Frequently Asked Questions
Declaration recommends eliminate the use of Impact factor for research evaluation
Non–Small-Cell Lung Cancer Patients with Low Performance Status: study on 28 patients
Breast cancer: study on 122 cases. The Di Bella Method (DBM) improved survival, objective response and performance status in a retrospective observational clinical study on 122 cases of breast cancer