A case of advanced Multiple Myeloma treated with Di Bella Method (DBM) into total remission for 13 years.

RSS
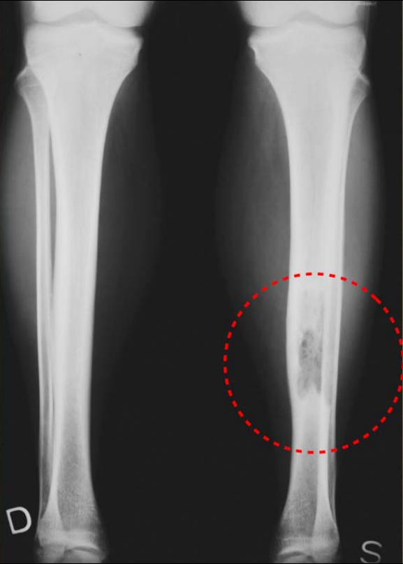
Figure1
Figure1
Detail Download
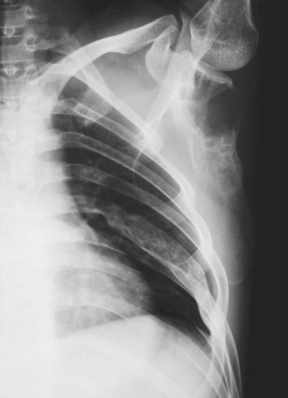
Figure2
Figure2
Detail Download
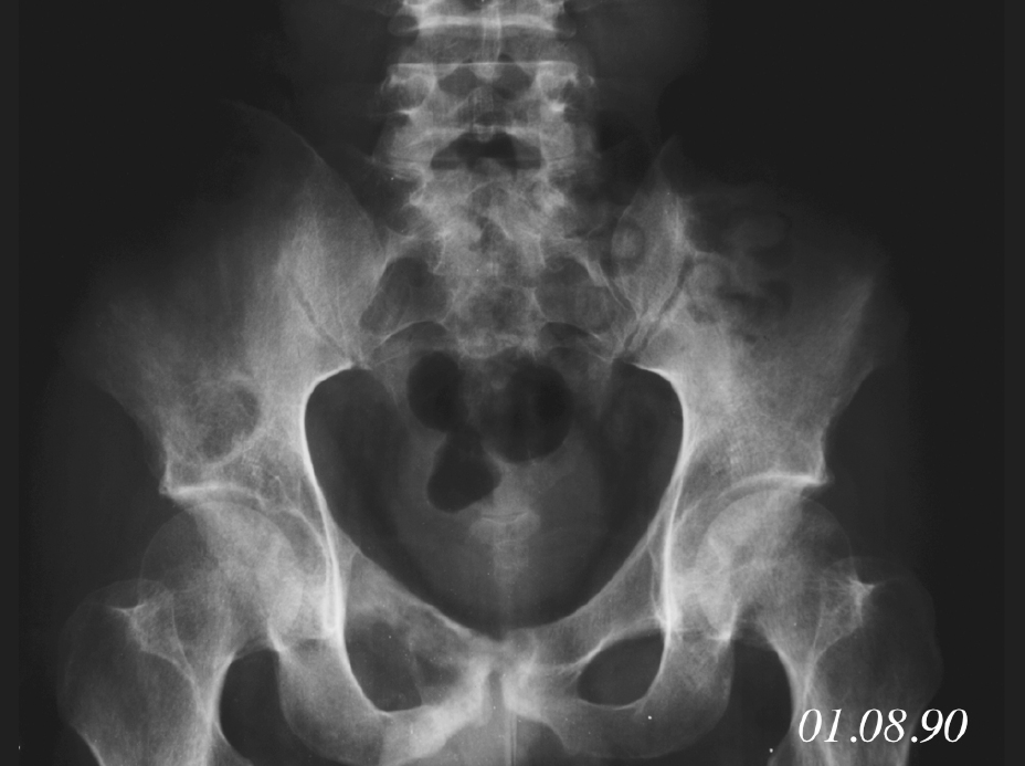
Figure3
Figure3
Detail Download
Figure4
Figure4
Detail Download
Figure5
Figure5
Detail Download
Figure6
Figure6
Detail Download
Figure7
Figure7
Detail Download
Figure8
Figure8
Detail Download
Figure9
Figure9
Detail Download
Figure10
Figure10
Detail Download
Figure11
Figure11
Detail Download
Figure12
Figure12
Detail Download
Figure13
Figure13
Detail Download
Figure14
Figure14
Detail Download
Figure15
Figure15
Detail Download
Figure16
Figure16
Detail Download
 
 
Powered by Phoca Gallery